813.284.7222
info@alessifxhealth.com
Toggle navigation
Menu
About Us
Who We Are
Testimonials
Results
Financing
Services
Services
Corporate Wellness
Alessi TotalCare
Buy Labs
Podcast
Resources
Newsletter
Dispensary
Blog
Partners
Contact Us
Book Now
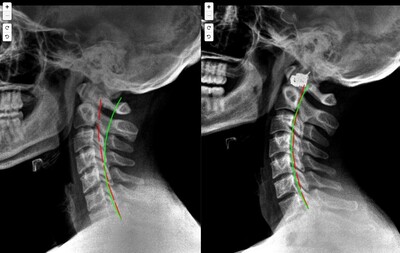
Results
Results You Can See... and Feel!
See What Our Patients Are Saying About Us!
×